十堰人医核医学科:静息门控心肌灌注显像检查流程及注意事项

时间:2025-11-12 16:31 来源:十堰广电
  • 微信
  • QQ空间
  • 微博
  • QQ好友

什么是静息门控心肌灌注显像检查?

静脉注射心肌灌注显像剂,在静息状态下采用ECG门控技术行SPECT断层采集,获得左室心肌血流分布、室壁运动、射血分数及心脏功能参数。

静息门控心肌灌注显像检查的临床意义?

1. 诊断冠心病:静息灌注缺损提示心肌梗死或严重缺血。

2. 评估心肌活力:结合负荷显像鉴别存活心肌与瘢痕。

3. 定量LVEF及室壁运动,协助心力衰竭、化疗心脏毒性监测。

4. 术前风险评估(非心脏手术、瓣膜病、PCI/CABG前)。

5. 疗效随访:再血管化后灌注与功能改善评价。

哪些患者需要做该检查(适应症)?

1. 典型或不典型胸痛,ECG可疑缺血。

2. 已知冠心病,评价缺血/坏死范围及LVEF。

3. 急性冠脉综合征后危险分层(>3天且病情稳定)。

4. 心力衰竭病因鉴别或CRT/ICD植入前评估。

5. 高危人群术前心脏风险评估(METs<4 或 RCRI≥2)。

6. 瓣膜性心脏病术前左室功能评价。

7. 冠脉介入或搭桥术后3–6个月症状复发。

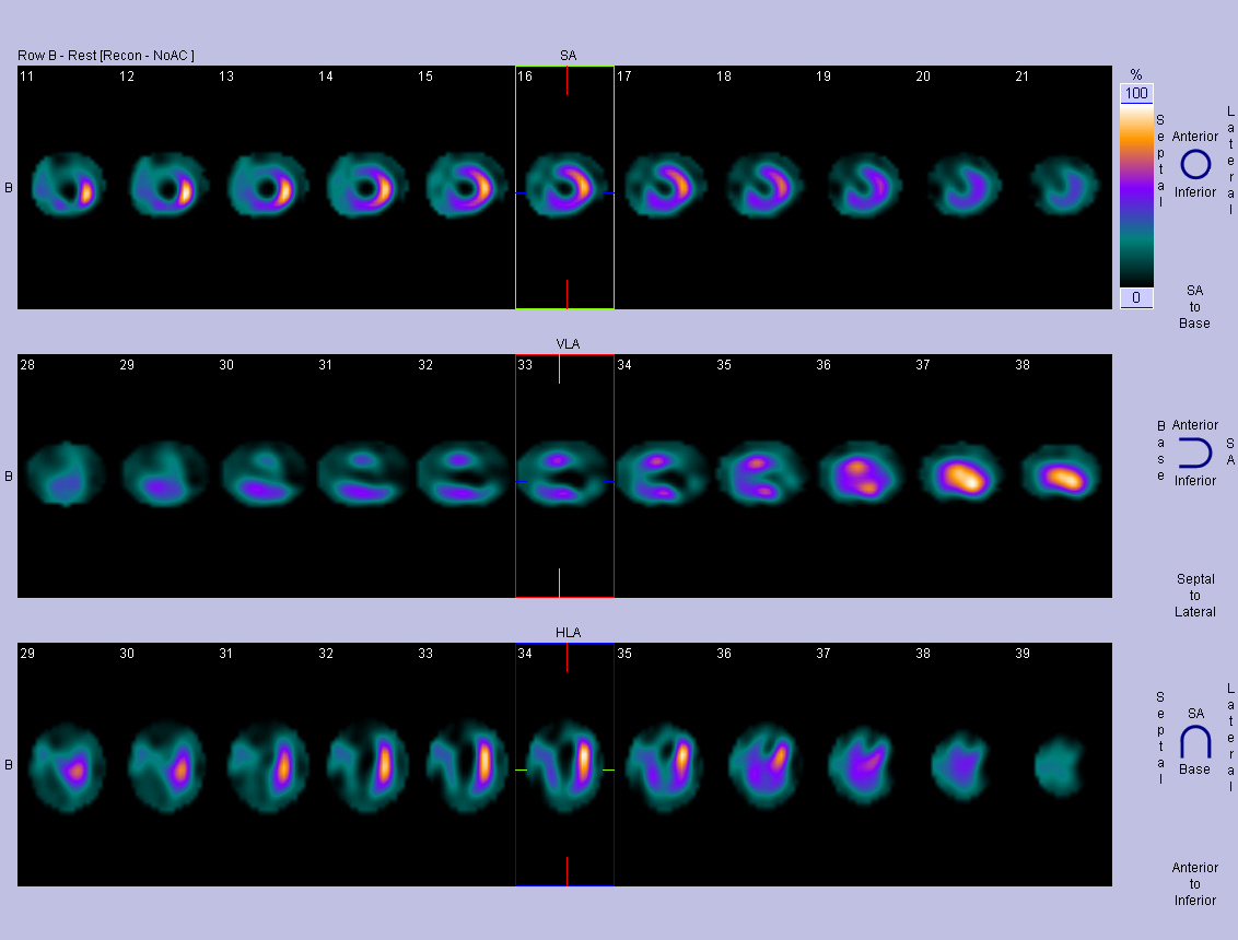
典型图像:

IMG_7809

IMG_7812

IMG_7813

(图二、三:患者男,55岁,因“PCI术后5年余,间断胸闷、胸痛1周”,心电图:窦性心律符合陈旧性广泛前壁心肌梗死;心脏彩超:陈旧性心梗,左心增大;冠脉造影:LM未见明显狭窄,LAD近段原植入支架在位通畅,中段动脉粥样硬化;LCX近段狭30-40%,中段见瘤样扩张;RCA近中段动脉粥样硬化,远段狭窄40-50%。ECT:静息状态下,左室心尖区、前壁、下壁、间壁血流灌注明显减低,以心尖区、前壁、前间壁为著,考虑上述相应区域心肌缺血伴局部心肌梗死可能。左室心功能参数:静息状态:EDV:144ml,ESV:101ml,EF:30%,PFR:1.39EDV/S。缺血/梗死面积:77c㎡,减低范围:52%。)

静息门控心肌灌注显像检查的检查流程:

1. 开单:海泰系统,选择“检查”,选择左侧“ECT”,勾选下拉菜单“静息门控心肌灌注显像”,最后保存打印申请单。

2. 预约登记:请至少提前一天持申请单到核医学科预约,或拨打十堰市人民医院核医学科电话0719-8637981预约。

3. 检查前准备:a. 禁食≥4小时,可饮清水,准备脂肪餐(煎鸡蛋、纯牛奶); b. 停用咖啡因及茶碱类 24 小时(避免微血管痉挛)。c. 停用硝酸酯、β受体阻滞剂、钙拮抗剂48 小时(临床允许情况下),以保留缺血评估价值。

4. 静脉注射显像剂:静脉注射显像剂,30分钟进食脂肪餐(煎鸡蛋、纯牛奶),1小时行SPECT断层采集。

5. 报告出具:检查结束当日发放正式报告,报告与PACS同步。

静息门控心肌灌注显像像检查有哪些注意事项?

1. 检查当天穿无金属纽扣上衣。

2. 哺乳期暂停母乳24 小时,期间每4小时挤弃乳汁一次。

3. 检查后建议多饮水,促进显像剂排出。

十堰市人民医院核医学科电话:0719-8637981

编辑:林静娴

标题:
网址:
错误内容:
姓名:
电话:
 
新闻热线:
投稿邮箱:
网络新闻部: